Description
The characteristic shape of Boutonnière deformity. The middle joint of the affected finger will not straighten, while the tip of the finger bends back.
CausehELLO
Fractures in children can occur in many different ways. Fingertips are sometimes crushed in a slamming door, damaging the bone at the end of the finger. Children are also curious, and may put their fingers into machinery or other equipment. Falls are another common cause of injury. Fractures may occur in sports from falls, twisting, or direct blows or impact to the hand or wrist.
Signs and Symptoms
Any time an injury is sustained in a child, an adult should provide attention to the injured child. If the finger, wrist, or forearm is not in normal alignment, or if there is a skin wound leading to the fracture, the child should be brought immediately to an emergency room. If the finger or wrist or forearm is in normal alignment and the child can move it, ice can be applied and the child can be looked at again later.
Not all fractures in children will look crooked or have major loss of mobility. If there is significant bruising or swelling, an x-ray is the only way to know for sure if a bone is broken. If there is a significant nail-bed injury, an x-ray may be needed as the bone may be broken too. If pain, swelling, or loss of movement persists, an evaluation by a physician is needed.
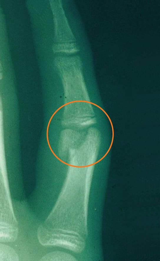
Fractures in children may be non-displaced, which means that it is a “hairline” fracture, or a fracture that has not broken into two separate pieces. Other fractures may be displaced, which means that it is a complete fracture that has broken into two or more pieces with some shift in position so that the ends of the broken bone are not in alignment (see Figure 1a). Fractures may occur in the shaft of the bone, or near the end, or in the joint.
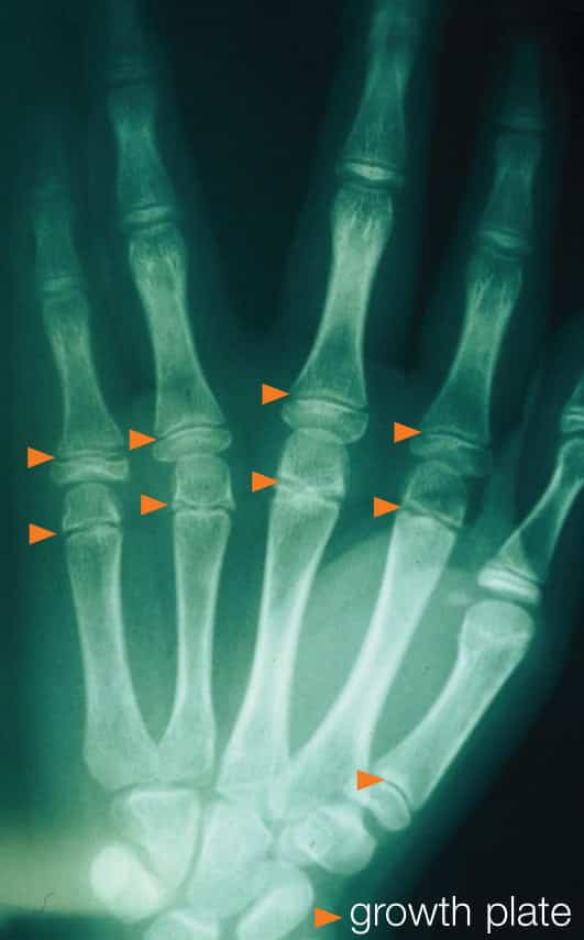
Children’s bones also have growth plates, which are bands of softer cartilage near the end of the bone that allow the bone to elongate as it grows. Since the cartilage does not have calcium, it appears as a clear band on an X-ray (see Figure 1b). Since the bone is softer in the area of the growth plate, it is common to see fractures in this zone. Although injury to the growth plate could affect that bone’s growth, many of these fractures in the hand and wrist heal well without later deformity.
Treatment
Broken fingers, wrists, and hands are mostly commonly treated in children with casting or splinting. If the broken bone is not lined up, the bone may need to be “set” or “reduced” with a manual manipulation by a physician. In more severe fractures, surgery may be needed to reset the fracture and a metal plate, screws, pins, or rods placed in order to keep the bone in proper position while it is healing (see Figure 2b).
Children heal quickly. Many fractures in children heal in as little as one month. In children with a growth plate fracture, immediate diagnosis is important so that if the bone is displaced and needs to be realigned, it can be reset while the fracture is still pliable before it starts to heal.
Children are able to “remodel” (the specific process of bone resorption and formation) a broken bone after it heals and as the child grows. Certain breaks may not have to be re-aligned perfectly because of this ability to remodel with growth. Younger children have greater potential for remodeling with growth. Fractures with angulation in the same direction as joint motion (bending and straightening) also have greater potential to remodel. Fractures that disrupt the surface of a joint usually need to be realigned as precisely as possible, though, and may need surgery to do so (see Figure 2a). Fractures that are rotated or twisted, or angled out to the side also need to be realigned more precisely as they have less potential to remodel (see Figure 1a).
Sometimes injuries can be prevented, and sometimes not. Help children avoid dangerous situations and protect them from falls. Prevention from slamming their fingers in doors or putting their hand in exercise equipment or in machinery is important. Protective gear may play a role in preventing some hand injuries in children. Wrist guards may lessen the impact of injury in rollerblading. In athletes, prevention of injuries may include use of appropriate equipment and supervision.
For more information on pediatric conditions, contact with the DR. GILBERT.
